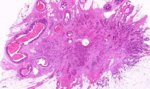
Die Übersicht illustriert den Kontrast zwischen Tumor und Normalgewebe in der Peripherie dieses Tumors, zeigt also, wie der Tumor das, was ursprünglich vorhanden war, zerstört und verdrängt.
Darüber hinaus erkennt man noch den Anteil von Tumor und Stroma, sowie den intraduktalen bzw. in situ Anteil.
